In an era where technology permeates every aspect of our lives, concerns about the impact of mobile devices on children's brain health have become increasingly…
The new Zeiss Microscope was delivered to the St Vincent’s Private Hospital in January 2019. It is a superlative piece of engineering. The new microscope…
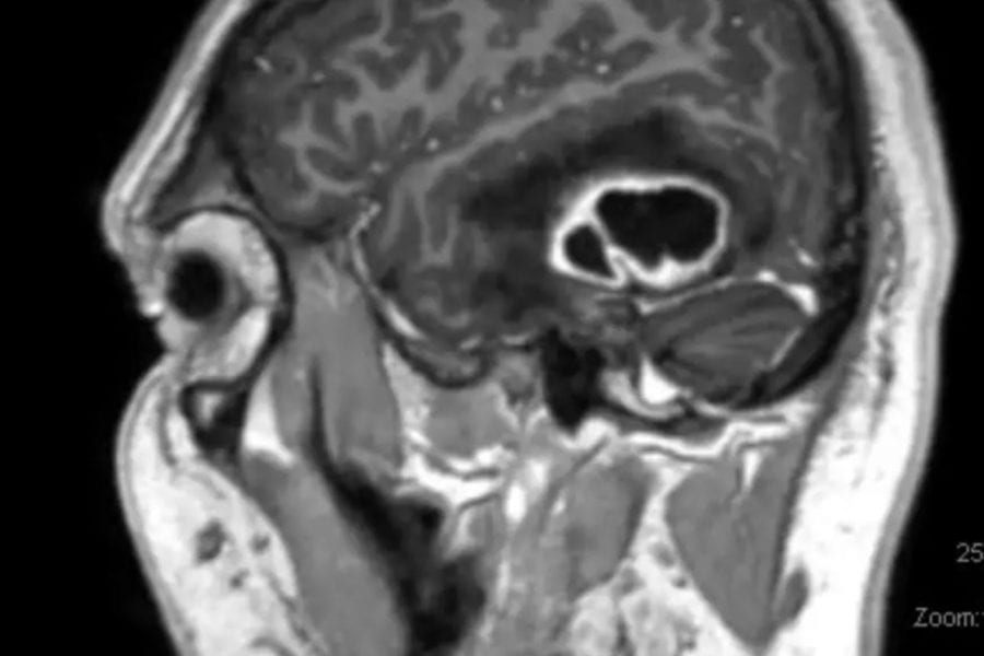
When Timothy Steel, both a neurosurgeon and a spine surgeon, began his career 20 years ago, spine operations were risky procedures followed by intensive care.…
New scanning technology is being used to help doctors operate on back pain patients with greater confidence and precision. St Vincent's Private Hospital in Sydney…