Technology New scanning technology to ‘revolutionise’ back surgery New scanning technology is being used to help doctors operate on back pain patients with greater confidence and precision. St Vincent's Private Hospital in Sydney…Dr Timothy SteelOctober 20, 2017
Technology New MRI techniques mean fewer brain surgeries like the one that removed this apple-sized abscess Gilbert Laurie noticed his headache when he was watching television. It came and went, growing in strength over the next few days but easing under…Dr Timothy SteelJanuary 4, 2016
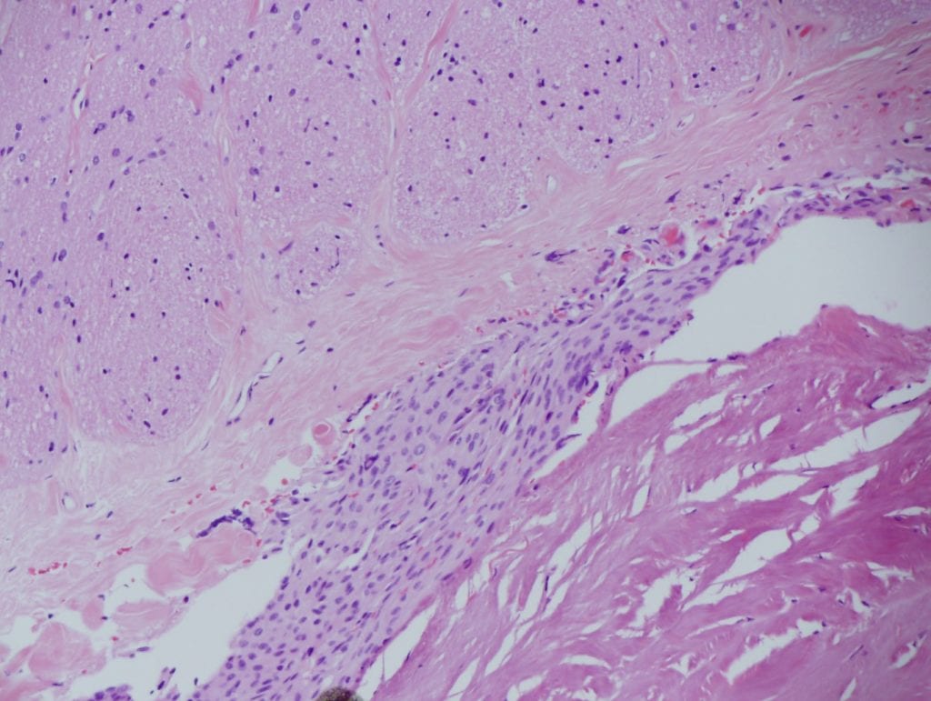
Case Report Spontaneous pineal apoplexy in a pineal parenchymal tumor of intermediate differentiation Authored by: Ching-Chun Wang (Nepean Hospital) Jennifer Turner (St. Vincent’s Hospital) Timothy Steel MBBS, FRACS (St Vincent’s Hospital) Abstract Pineal apoplexy is a rare clinical…Dr Timothy SteelMarch 10, 2013
Technology An Unusual Radiological Presentation of Optic Nerve Sheath Meningioma Authored by: Chameen Samarawickrama BSc(Med) MBBS, PhD (Sydney Eye Hospital) Ellen Frydenberg MB, BCh, BAO (Concord Repatriation General Hospital, St Vincent’s Hospitals) Matthew Wells Timothy Steel…Dr Timothy SteelFebruary 20, 2012