A 19-year-old construction worker was brought into hospital having been found unconscious at the bottom of a stairwell at work. He had been unconscious for…
Back pain and/or sciatica are painful conditions that affect most people at some point in their lives. Sciatica is caused by nerve root compression/irritation, commonly…
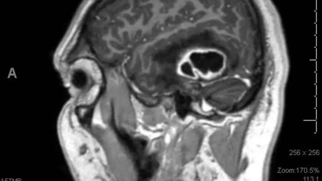
This patient with Trigeminal Neuralgia had surgery in 2012 by another surgeon at another institution. Initially, she felt well, but the pain gradually returned over…
Introduction 30% of the population will develop significant neck pain. The pain is usually due to a disc herniation. If the disc protrusion is small pain tends to…